ΑΡΧΙΚΗ
ΤΟ ΙΑΤΡΕΙΟ
ΒΙΟΓΡΑΦΙΚΟ
ΦΙΛΟΣΟΦΙΑ
ΠΕΡΙΣΤΑΤΙΚΑ
ΑΙΣΘΗΤΙΚΕΣ ΑΠΟΚΑΤΑΣΤΑΣΕΙΣ
ΑΙΣΘΗΤΙΚΕΣ ΑΠΟΚΑΤΑΣΤΑΣΕΙΣ ΜΕ ΡΗΤΙΝΕΣ
ΑΝΤΙΚΑΤΑΣΤΑΣΗ ΚΑΚΟΤΕΧΝΗΣ ΣΤΕΦΑΝΗΣ ΣΤΗΝ ΠΡΟΣΘΙΑ ΖΩΝΗ
ΑΟΡΑΤΗ ΟΡΘΟΔΟΝΤΙΚΗ
ΕΜΦΥΤΕΥΜΑΤΑ ΣΤΗΝ ΑΙΣΘΗΤΙΚΗ ΖΩΝΗ
ΕΦΑΡΜΟΓΗ ΥΑΛΟΥΡΟΝΙΚΟΥ ΟΞΕΟΣ ΓΙΑ ΔΙΟΡΘΩΣΗ ΡΥΤΙΔΩΝ
ΛΕΥΚΑΝΣΕΙΣ
ΟΨΕΙΣ ΡΗΤΙΝΗΣ ΣΤΑ ΠΡΟΣΘΙΑ ΔΟΝΤΙΑ
ΤΟΠΟΘΕΤΗΣΗ ΕΜΦΥΤΕΥΜΑΤΩΝ
ΕΠΙΚΟΙΝΩΝΙΑ
Επικοινωνήστε για Ραντεβού
Αισθητικές αποκαταστάσεις με ρητίνες
Error
ΑΙΣΘΗΤΙΚΕΣ ΑΠΟΚΑΤΑΣΤΑΣΕΙΣ ΜΕ ΡΗΤΙΝΕΣ | GALAXIDI SMILE - ΜΠΟΜΠΟΥΛΑΣ ΣΤΥΛΙΑΝΟΣ
Περιστατικό 1
2 Photos
Περιστατικό 2
2 Photos
Περιστατικό 3
1 Photos
Τερηδόνα στον #47#
Περιστατικό 1
Έμφραξη ρητίνης αντιγράφοντας....
Περιστατικό 1
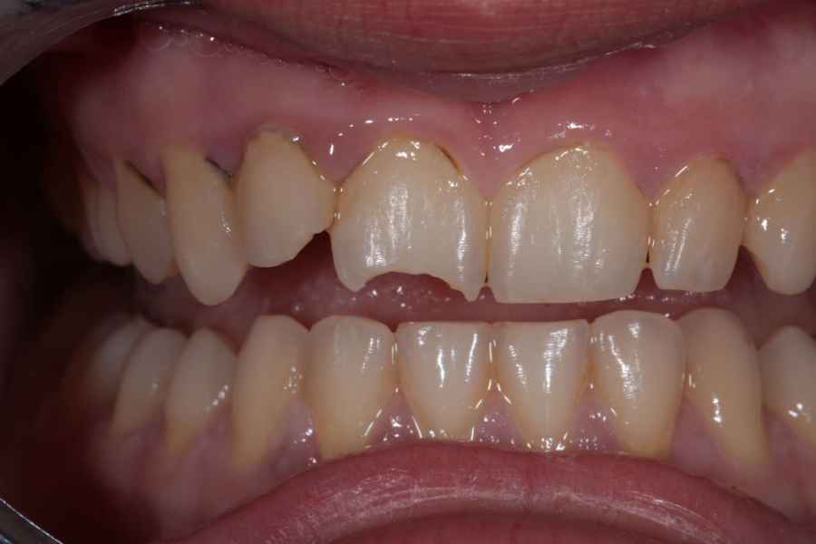
Κάταγμα του #11#
Περιστατικό 2
Αποκατάσταση του #11# με ρητίνη
Περιστατικό 2
Εμφράξεις ρητίνης στα #46,47#....
Περιστατικό 3
ΑΡΧΙΚΗ
ΤΟ ΙΑΤΡΕΙΟ
ΒΙΟΓΡΑΦΙΚΟ
ΦΙΛΟΣΟΦΙΑ
ΠΕΡΙΣΤΑΤΙΚΑ
ΑΙΣΘΗΤΙΚΕΣ ΑΠΟΚΑΤΑΣΤΑΣΕΙΣ
ΑΙΣΘΗΤΙΚΕΣ ΑΠΟΚΑΤΑΣΤΑΣΕΙΣ ΜΕ ΡΗΤΙΝΕΣ
ΑΝΤΙΚΑΤΑΣΤΑΣΗ ΚΑΚΟΤΕΧΝΗΣ ΣΤΕΦΑΝΗΣ ΣΤΗΝ ΠΡΟΣΘΙΑ ΖΩΝΗ
ΑΟΡΑΤΗ ΟΡΘΟΔΟΝΤΙΚΗ
ΕΜΦΥΤΕΥΜΑΤΑ ΣΤΗΝ ΑΙΣΘΗΤΙΚΗ ΖΩΝΗ
ΕΦΑΡΜΟΓΗ ΥΑΛΟΥΡΟΝΙΚΟΥ ΟΞΕΟΣ ΓΙΑ ΔΙΟΡΘΩΣΗ ΡΥΤΙΔΩΝ
ΛΕΥΚΑΝΣΕΙΣ
ΟΨΕΙΣ ΡΗΤΙΝΗΣ ΣΤΑ ΠΡΟΣΘΙΑ ΔΟΝΤΙΑ
ΤΟΠΟΘΕΤΗΣΗ ΕΜΦΥΤΕΥΜΑΤΩΝ
ΕΠΙΚΟΙΝΩΝΙΑ