ΑΡΧΙΚΗ
ΤΟ ΙΑΤΡΕΙΟ
ΒΙΟΓΡΑΦΙΚΟ
ΦΙΛΟΣΟΦΙΑ
ΠΕΡΙΣΤΑΤΙΚΑ
ΑΙΣΘΗΤΙΚΕΣ ΑΠΟΚΑΤΑΣΤΑΣΕΙΣ
ΑΙΣΘΗΤΙΚΕΣ ΑΠΟΚΑΤΑΣΤΑΣΕΙΣ ΜΕ ΡΗΤΙΝΕΣ
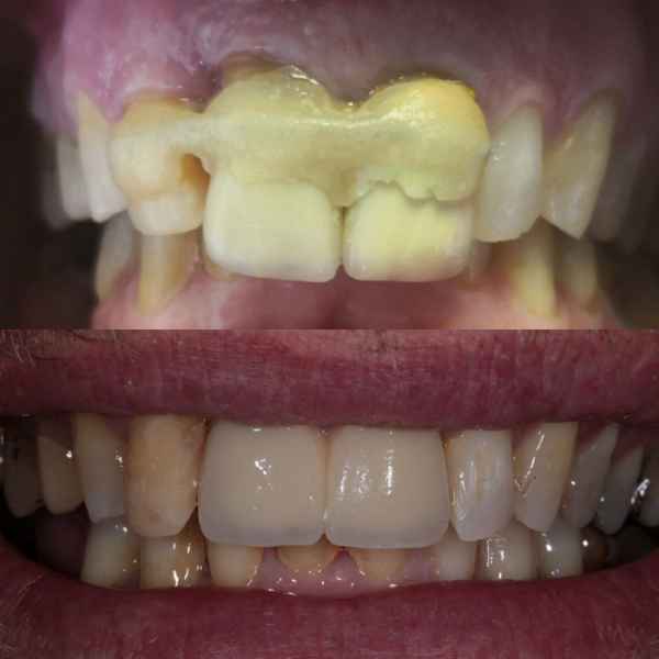
ΑΝΤΙΚΑΤΑΣΤΑΣΗ ΚΑΚΟΤΕΧΝΗΣ ΣΤΕΦΑΝΗΣ ΣΤΗΝ ΠΡΟΣΘΙΑ ΖΩΝΗ
ΑΟΡΑΤΗ ΟΡΘΟΔΟΝΤΙΚΗ
ΕΜΦΥΤΕΥΜΑΤΑ ΣΤΗΝ ΑΙΣΘΗΤΙΚΗ ΖΩΝΗ
ΕΦΑΡΜΟΓΗ ΥΑΛΟΥΡΟΝΙΚΟΥ ΟΞΕΟΣ ΓΙΑ ΔΙΟΡΘΩΣΗ ΡΥΤΙΔΩΝ
ΛΕΥΚΑΝΣΕΙΣ
ΟΨΕΙΣ ΡΗΤΙΝΗΣ ΣΤΑ ΠΡΟΣΘΙΑ ΔΟΝΤΙΑ
ΤΟΠΟΘΕΤΗΣΗ ΕΜΦΥΤΕΥΜΑΤΩΝ
ΕΠΙΚΟΙΝΩΝΙΑ
Επικοινωνήστε για Ραντεβού
Εμφυτεύματα στην αισθητική ζώνη
Error
ΕΜΦΥΤΕΥΜΑΤΑ ΣΤΗΝ ΑΙΣΘΗΤΙΚΗ ΖΩΝΗ | GALAXIDI SMILE - ΜΠΟΜΠΟΥΛΑΣ ΣΤΥΛΙΑΝΟΣ
Περιστατικό 1
5 Photos
Αρχική εικόνα ασθενούς υστέρα....
Περιστατικό 1
Τοποθέτηση των μεταλλικών...
Περιστατικό 1
Επούλωση των ιστών...
Περιστατικό 1
Λήψη φωτογραφίας κατά....
Περιστατικό 1
Τελική εικόνα
Περιστατικό 1
ΑΡΧΙΚΗ
ΤΟ ΙΑΤΡΕΙΟ
ΒΙΟΓΡΑΦΙΚΟ
ΦΙΛΟΣΟΦΙΑ
ΠΕΡΙΣΤΑΤΙΚΑ
ΑΙΣΘΗΤΙΚΕΣ ΑΠΟΚΑΤΑΣΤΑΣΕΙΣ
ΑΙΣΘΗΤΙΚΕΣ ΑΠΟΚΑΤΑΣΤΑΣΕΙΣ ΜΕ ΡΗΤΙΝΕΣ
ΑΝΤΙΚΑΤΑΣΤΑΣΗ ΚΑΚΟΤΕΧΝΗΣ ΣΤΕΦΑΝΗΣ ΣΤΗΝ ΠΡΟΣΘΙΑ ΖΩΝΗ
ΑΟΡΑΤΗ ΟΡΘΟΔΟΝΤΙΚΗ
ΕΜΦΥΤΕΥΜΑΤΑ ΣΤΗΝ ΑΙΣΘΗΤΙΚΗ ΖΩΝΗ
ΕΦΑΡΜΟΓΗ ΥΑΛΟΥΡΟΝΙΚΟΥ ΟΞΕΟΣ ΓΙΑ ΔΙΟΡΘΩΣΗ ΡΥΤΙΔΩΝ
ΛΕΥΚΑΝΣΕΙΣ
ΟΨΕΙΣ ΡΗΤΙΝΗΣ ΣΤΑ ΠΡΟΣΘΙΑ ΔΟΝΤΙΑ
ΤΟΠΟΘΕΤΗΣΗ ΕΜΦΥΤΕΥΜΑΤΩΝ
ΕΠΙΚΟΙΝΩΝΙΑ