ΑΡΧΙΚΗ
ΤΟ ΙΑΤΡΕΙΟ
ΒΙΟΓΡΑΦΙΚΟ
ΦΙΛΟΣΟΦΙΑ
ΠΕΡΙΣΤΑΤΙΚΑ
ΑΙΣΘΗΤΙΚΕΣ ΑΠΟΚΑΤΑΣΤΑΣΕΙΣ
ΑΙΣΘΗΤΙΚΕΣ ΑΠΟΚΑΤΑΣΤΑΣΕΙΣ ΜΕ ΡΗΤΙΝΕΣ
ΑΝΤΙΚΑΤΑΣΤΑΣΗ ΚΑΚΟΤΕΧΝΗΣ ΣΤΕΦΑΝΗΣ ΣΤΗΝ ΠΡΟΣΘΙΑ ΖΩΝΗ
ΑΟΡΑΤΗ ΟΡΘΟΔΟΝΤΙΚΗ
ΕΜΦΥΤΕΥΜΑΤΑ ΣΤΗΝ ΑΙΣΘΗΤΙΚΗ ΖΩΝΗ
ΕΦΑΡΜΟΓΗ ΥΑΛΟΥΡΟΝΙΚΟΥ ΟΞΕΟΣ ΓΙΑ ΔΙΟΡΘΩΣΗ ΡΥΤΙΔΩΝ
ΛΕΥΚΑΝΣΕΙΣ
ΟΨΕΙΣ ΡΗΤΙΝΗΣ ΣΤΑ ΠΡΟΣΘΙΑ ΔΟΝΤΙΑ
ΤΟΠΟΘΕΤΗΣΗ ΕΜΦΥΤΕΥΜΑΤΩΝ
ΕΠΙΚΟΙΝΩΝΙΑ
Επικοινωνήστε για Ραντεβού
Όψεις ρητίνης στα πρόσθια δόντια
Error
ΟΨΕΙΣ ΡΗΤΙΝΗΣ ΣΤΑ ΠΡΟΣΘΙΑ ΔΟΝΤΙΑ | GALAXIDI SMILE - ΜΠΟΜΠΟΥΛΑΣ ΣΤΥΛΙΑΝΟΣ
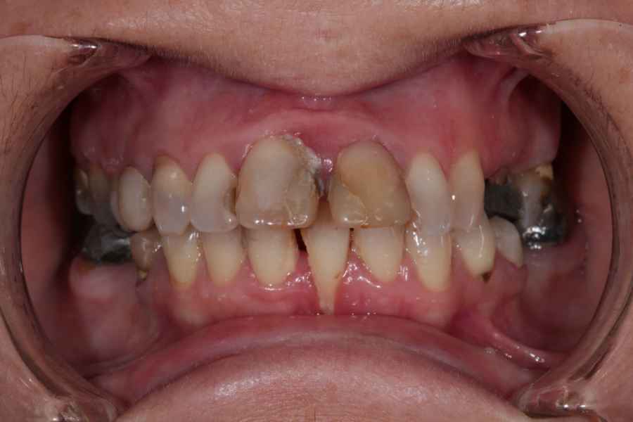
Περιστατικό 1
2 Photos
Αρχική εικόνα με κακότεχνες...
Περιστατικό 1
Τελική εικόνα με αλλαγή...
Περιστατικό 1
ΑΡΧΙΚΗ
ΤΟ ΙΑΤΡΕΙΟ
ΒΙΟΓΡΑΦΙΚΟ
ΦΙΛΟΣΟΦΙΑ
ΠΕΡΙΣΤΑΤΙΚΑ
ΑΙΣΘΗΤΙΚΕΣ ΑΠΟΚΑΤΑΣΤΑΣΕΙΣ
ΑΙΣΘΗΤΙΚΕΣ ΑΠΟΚΑΤΑΣΤΑΣΕΙΣ ΜΕ ΡΗΤΙΝΕΣ
ΑΝΤΙΚΑΤΑΣΤΑΣΗ ΚΑΚΟΤΕΧΝΗΣ ΣΤΕΦΑΝΗΣ ΣΤΗΝ ΠΡΟΣΘΙΑ ΖΩΝΗ
ΑΟΡΑΤΗ ΟΡΘΟΔΟΝΤΙΚΗ
ΕΜΦΥΤΕΥΜΑΤΑ ΣΤΗΝ ΑΙΣΘΗΤΙΚΗ ΖΩΝΗ
ΕΦΑΡΜΟΓΗ ΥΑΛΟΥΡΟΝΙΚΟΥ ΟΞΕΟΣ ΓΙΑ ΔΙΟΡΘΩΣΗ ΡΥΤΙΔΩΝ
ΛΕΥΚΑΝΣΕΙΣ
ΟΨΕΙΣ ΡΗΤΙΝΗΣ ΣΤΑ ΠΡΟΣΘΙΑ ΔΟΝΤΙΑ
ΤΟΠΟΘΕΤΗΣΗ ΕΜΦΥΤΕΥΜΑΤΩΝ
ΕΠΙΚΟΙΝΩΝΙΑ